Cabinet d'orthodontie à Saint-Martin-d'Hères
Dr LITRÉ Fleur - Orthodontie Exclusive.
Cabinet d'orthodontie à Saint-Martin-d'Hères
Dr LITRÉ Fleur - Orthodontie Exclusive.

Pôle Santé Axone, 75 AVENUE GABRIEL PERI
38400 Saint-Martin-d'Hères

Blog - Page 4

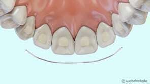
Fil de contention

Fil de contention

Traitement multi-attaches

Traitement multi-attaches

Contention de Hawley

Contention de Hawley

Orthodontie : idées reçues, idées revues

Orthodontie : idées reçues, idées revues

L'orthodontie : une affaire de spécialistes

L'orthodontie : une affaire de spécialistes

Utilisation du fil dentaire

Utilisation du fil dentaire

Affichage des articles 19-24 sur 82

Création par Webdentiste

Connexion